Conscious Sedation

Dr. Bill Dorfman

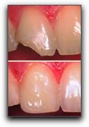
Los Angeles and Beverly Hills dentist Dr. Bill Dorfman of Century City Aesthetic Dentistry creates some of the most beautiful smiles in the world. He offers cosmetic dentistry, dental implants, sedation dentistry, general dentistry and much more to patients of all walks of life in the greater Los Angeles area and all over Southern California including Brentwood, Marina Del Rey, Century City, Beverly Hills, Hollywood, Santa Monica, CA, and zip codes 90069, 90036, 90292, 90049, and 90212.

Working Hours

Monday - Friday 7:30 am - 5:00pm

TEXT OUR OFFICE

Text message is limited to 1000 characters.

I consent to allow Dr. Bill Dorfman to send text messages to my wireless phone number. Message frequency may vary. I understand I may opt-out at any time by replying "Stop".

HOW IT WORKS

  1. Enter your Name.
  2. Enter your Cell Phone Number, area code first.
  3. Enter your text message in the box.
  4. Click "Send Text".
  5. A copy of this text will be sent to the office and to your cell phone. The office's reply will also be sent to your cell phone where you can continue the text conversation.
Note: Mobile message and data rates from your cell phone carrier may apply.Close ClickToCall Button